产品资料 – 核酸纯化 – 基因组DNA提取
Monarch 基因组 DNA 细胞裂解缓冲液 收藏
货 号
规 格
价 格
北京库存
上海库存
广州库存
成都库存
#T3012L
20 ml
489.00元
无
无
无
无
Download:
- isoschizomers |
- compatible ends |
- single letter code
特性
从多种样本(细胞、血液、组织和其他)中提取高质量gDNA
极低的 RNA 残留(通常< 1%)
提取的 gDNA 片段更长(最高峰值≥50kb)
操作便捷友好,提取快速,裂解充分
试剂盒可以纯化基因组DNA
试剂盒组分可以单独购买
Monarch基因组 DNA 提取试剂盒是NGS实验中NEBNext建库产品的完美补充。提取的长片段DNA,是长读长测序平台的上游纯化的首选。
概述
Monarch基因组 DNA 提取试剂盒是NGS实验中NEBNext建库产品的完美补充。提取的长片段DNA,是长读长测序平台的上游纯化的首选。
Monarch 基因组 DNA(gDNA)提取纯化试剂盒集细胞裂解、RNA 去除和完整 DNA 纯化为一体,可用于多种生物样品如培养细胞、血液和哺乳动物组织。对难裂解的样品如细菌和酵母,试剂盒提供加强裂解步骤,以获得裂解充分的样品。说明书中还详述了临床样品如唾液和颊粘膜拭子的 gDNA提取过程,对于已经提取的 gDNA样品,说明书同样详述了快速纯化步骤。提取的 gDNA具有最高质量,通常A260/280>1.8、A260/230>2.0、高DIN 分值和极低残留 RNA。本试剂盒提取的 gDNA适用于终点 PCR、qPCR 和NGS 文库制备等多种下游应用。 峰值片段大小一般是50-70kb,特别适用于长读长测序平台。
组分
Monarch基因组 DNA提取试剂盒组分
-Monarch 基因组 DNA 纯化柱
-Monarch 收集管II
-Monarch基因组 DNA 组织裂解缓冲液
-Monarch基因组 DNA 细胞裂解缓冲液
-Monarch基因组 DNA 血液裂解缓冲液
-Monarch基因组 DNA 结合缓冲液
-Monarch 基因组 DNA 洗涤缓冲液
-Monarch 基因组 DNA 洗脱缓冲液
-Monarch RNase A
-蛋白酶 K,分子生物学级



Monarch 基因组 DNA 提取试剂盒可以从多种样本中高效提取高质量、高分子量的基因组DNA。
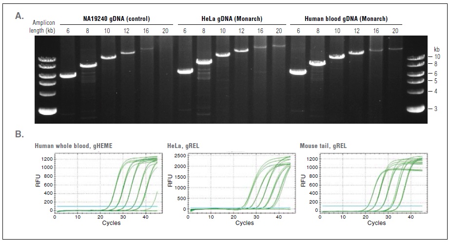
每个样本各取100 ng基因组DNA,用0.75%琼脂糖胶电泳上样。血液、培养的细胞和组织用标准说明书,颊粘膜拭子、唾液、革兰氏阴性菌和阳性菌用补充说明书进行提取。起始材料:1X106Hela 细胞、100 μl人类血液、10 μl鸟类血液、10 mg冷冻组织粉末、1个颊粘膜拭子、500 μl唾液和~ 1X109 细菌细胞。使用Lambda DNA-Hind III digest (NEB #N3012)作为 marker 上样于最后一条泳道。提取出的 gDNA 样本用Genomic DNA ScreenTape® ,在 Agilent Technologies® 4200 TapeStation® 上进行分析。样本通常产量峰值在 50-70 Kb之间,DINs在9左右。在准备颊粘膜拭子和唾液的过程中,不可避免会出现细胞破损,这会导致形成弥散状的低分子量凋亡条带。

Monarch基因组 DNA提取试剂盒提取出的高质量基因组DNA适用于长片段PCR 和 qPCR 等灵敏下游实验。
A:每个样本用 25ng 人DNA作为模板,用 LongAmp® Hot Start Taq 2X Master Mix(NEB #M0533)和特异引物分别扩增出6、8、10、12 、16 、20 kb的扩增子产物。PCR反应在Applied Biosystems® 2720 热循环仪中进行。Hela细胞 DNA 和人源血液基因组 DNA 用 Monarch试剂盒提取,与商业化的人源细胞系 NA19240 F11 参照 DNA 进行比较。分别取 10 ul上样于1.5%的琼脂糖胶,用 1 kb DNA Ladder(NEB #N3232)作为 Marker。胶图结果显示DNA高度完整,非常适合长片段PCR。
B:从人全血、Hela细胞和小鼠鼠尾用Monarch试剂盒提取基因组 DNA,10 倍系列稀释 5 次作为起始 DNA 模板浓度。在Bio-Rad® CFX Touch qPCR thermal cycler仪器中,用Luna® 通用 qpcr预混液(NEB#M3003) 和 特异引物对gHEME(人类全血)和gREL(Hela,小鼠鼠尾)进行PCR检测。实验结果显示 DNA 具有高纯度,不含抑制剂,非常适合qPCR。